皆様、エコー検査(超音波検査)って、ご存じですか?

以前紹介した「レントゲン検査」に比べると、若い(?)ブログ読者の皆様には馴染みの少ない検査かもしれません。
ですが、実は皆様はほぼ100%エコー検査の経験者です。そう、お母さんのお腹の中にいる頃に、エコー検査でその可愛い姿を見られているはずです❤

うちの学校にも、6月に最新型のエコーが届きました(‘ω’)ノ
エコー検査とレントゲン検査の大きな違いはリアルタイム(動画)で体内の様子がわかること、人体や動物たちに無害なこと。
※レントゲン検査は「静止画」で「放射線が有害」です。
リアルタイム(動画)だから、赤ちゃんの心臓が動いているかが確認できますし、赤ちゃんにも無害だから妊娠診断や検診によく使われています。
もちろん妊娠診断以外にも、お腹の中に何か腫瘍ができていないか?膀胱結石はないか?などなど、一般的な診察でもよく使われる検査です。
ですがちゃんと理解していないと、検査画像を見ても何がなんだかさっぱりわかりません!今日は少々マニアックですが、エコー検査の見方をご紹介します。
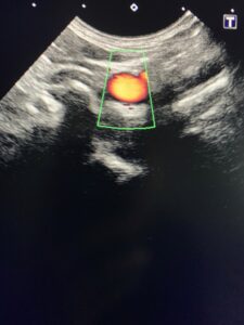
基本的にエコー検査とは全て「断面」で見ています。同じものでも、見る方向(断面)によっては全く違う様子で見えますよね。

↑↑上の写真は、血管のようなチューブ状のものが見る方向によってどう見えるか?の例です。
←これが血管の横断面。
←そしてこれが同じ血管の縦断面。
同じ血管でも、断面によって見え方が全然違いますね!!
※わかりやすく、血管を赤く色づけしています。
愛玩動物看護師を目指す学生たちはこういった「見え方」を頭に入れながらエコー検査画像を見て、これは正常な臓器か?病気なのか?が判断できなければなりません。では、ここでクイズです!!
下の写真に写っているエコー検査画像は、水の中に浮かんだ「あるもの」を2つの断面で見たものです。さて、「あるもの」とはなんでしょう?
※臓器ではありません。身近にある日用品(?)です。


答えが気になる!!orわかった!!という方は、ぜひオープンカレッジにお越しください!挑戦者、お待ちしています。笑
↓↓↓↓オープンカレッジの予約はコチラから↓↓↓↓
https://www.school-go.info/59lu93/kap/form.php?fno=52&fsno=1&openExternalBrowser=1